
בחור צעיר, הגיע עם שן שבורה כתוצאה מתאונה. הוחלט לעקור את השן ולבצע שתל ושיקום

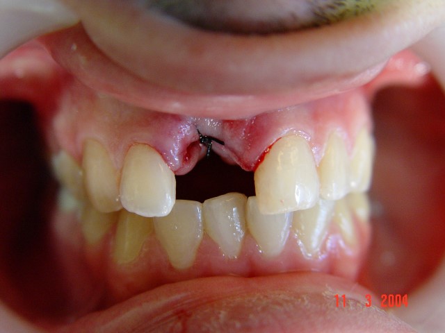
בוצעה עקירת השן

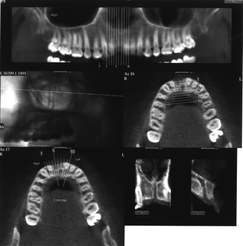
לאחר 3 חודשים מיום העקירה ביצוע צילום סיטי (טומוגרפיה ממוחשבת) לצורך תכנון ביצוע שתל בודד עם עיבוי העצם

ביצוע ההשתלה עם עיבוי העצם (אוגמנטציה)

בוצעה עקירת השן

לאחר חצי שנה, חשיפת השתל ובחינת העצם החדשה עם תוצאה רפואית מצוינת

לאחר ריפוי הרקמה הרכה ולקראת שיקום

מבנה מותאם לשתל החדש

צילום השתל עם המבנה לקראת השיקום

סיום הטיפול