תוכן עניינים
עיצוב החיוך המושלם
במשך 30 שנה אני חוקר ומתעניין בנושא חיוכים והבעות פנים. צילמתי אלפי תמונות של חיוכים והבעות פנים בארץ ובעולם. ניסיתי להבין ולפענח מדוע אדם נראה שמח, עצוב, מדוכא, כועס או מופתע… גם אם לא תמיד הוא עונה להגדרות הללו. עם השנים למדתי להבין שהחיוך והשפתיים התוחמות, הוא זה שגורם לנו להראות טוב יותר או לעתים רע יותר.
לא אחת מגיעים אלי מטופלים ואומרים "אני לא אוהב\ת את החיוך שלי. וזאת למרות שהשיניים ישרות, לבנות ויפות. במקרים שכאלה ברור שאם החיוך לא מתאים למבנה הפנים או ל"תדמית ההופעה הכללית" אז זו הסיבה.
אדם גבוה וגדול, עם שיניים קטנות. בחורה רזה קטנה ועדינה עם שיניים גדולות וכמובן שיניים גבריות לאשה ושיניים נשיות לגבר. כן יש דבר כזה.(כפי שאפרט בהמשך).
במקרים שכאלה ניתן ליצור שינוי. ובתכנון נכון להשיג את החיוך שאנו חולמים עליו…. AMAZING SMILE
להלן מספר דוגמאות של עיצוב החיוך מחדש




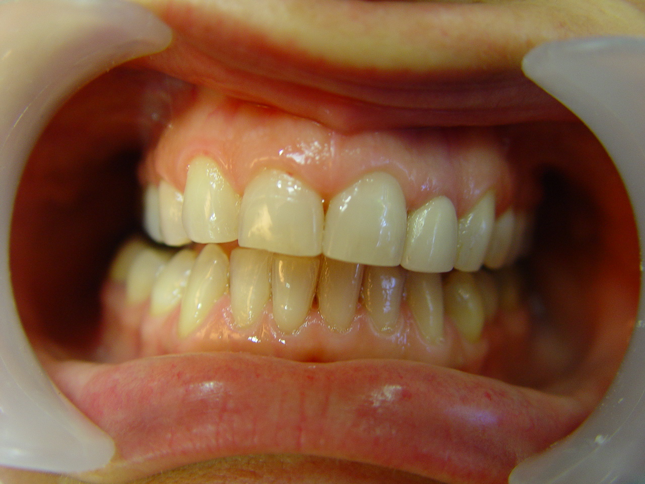
במקרה שלפנינו, בחורה רזה וגבוהה, עם שיניים גדולות ומגושמות שלא מתאימות לפרופורציות הפנים. במקרה זה הבחורה ידעה היטב מה היא רוצה וחלמה על שיניים קטנות ושינוי ושיפור החיוך בכל המימדים. נראה שהגשמנו את חלומה…..
חיוך יפה זה לא חלום!
כולנו רוצים חיוך מושלם וכולנו יכולים להבחין באופן אינטואיטיבי בין חיוך יפה לחיוך פחות יפה. החיוך נוצר מתוך פעולה של שרירי ההבעה המשפיעים על מראה הפנים והעיניים, הוא ״מדבק״ ויכול להשפיע על מצב הרוח שלכם ושל הסובבים אתכם. חיוך יפה ייתן לנו ביטחון ויפתח לנו דלתות.
השפעתו של החיוך ניכרת ברגע שהוא מושך את תשומת הלב של הסביבה וגורם לעיניים רבות להביט בנו. היום, עם ההתפתחות בתחום הרפואה האסתטית בכלל והשיניים בפרט, אנחנו לא חייבים לקבל את המראה שלנו כמובן מאליו ויכולים למצוא פתרונות אסתטיים מדהימים לחיוך מושלם.
אנו מקדישים תשומת לב כפייתית לפנים שלנו, משקיעים כספים רבים בשמירה על עור הפנים, בניתוחים פלסטיים, בעיצוב העור, הפנים והשיער אך לא תמיד יודעים שהפתרון לפנים יפות נמצא בשיניים וחיוך כובש אחד עשוי לשנות את ההופעה כולה. המוח האנושי מזהה במהירות רבה כל סטייה מהמראה האידיאלי הנוצר בזמן החיוך אך ברוב המקרים מתקשה להצביע מהי הסטייה במדויק ומדוע החיוך אינו עונה על אותו מראה אידאלי.
בדוגמא הבאה – אישה עם חיוך מעוות, מבגר וגברי. לאחר השיקום כל מילה מיותרת…
רפואת שיניים קוסמטית מאפשרת לכל אחד להשיג את החיוך שעליו הוא חלם ולהגיע לתוצאה של חיוך טבעי, המתאים לצורה, מבנה, ופרופורציית הפנים. בידי רופא השיניים קיימות אפשרויות רבות שישפיעו על מראה החיוך, השיניים, השפתיים והחניכיים.
הטיפול לשיפור החיוך מותאם בהתבוננות כוללת במבנה וצורת הפנים, בקו השפתיים, קו החניכיים, עובי השפתיים והשיניים כמכלול, כאשר מטרת הטיפול הינה התאמת ושיפור החיוך.
בבואי להעריך חוות דעת מקצועית למראה החיוך יש מספר פרמטרים עליהם יש להתבונן ומתחילים ברמה המקרוסקופית הכוללת התבוננות בצורת הפנים, אך גם ההופעה הכללית, גובה ומבנה גוף. אדם שמן וגדול יראה ילדותי עם שיניים קטנות ומצד שני אדם קטן ורזה לא יראה טוב עם שיניים גדולות ומגושמות
אחד הדברים החשובים ביותר בקביעת הרושם הראשוני הוא צורת הפנים והתאמת צורת השיניים למבנה הפנים. ישנם פנים עגולות, ארוכות, אובליות, מרובעות ופנים בצורת לב.
השיניים מסייעות בקביעת מבנה הפנים על ידי התווית המרחק בין שתי הלסתות ואחידות בין צורת השיניים לצורת הפנים יוצרת דימוי חזותי נעים ויפה.

לדוגמא, פעמים רבות אנשים עם מבנה פנים קטן חשים שהשיניים שלהם גדולות מדי.


במקרים כאלה הבעיה עשויה לנבוע מגודל השיניים, אך גם לצורת השיניים עשויה להיות השפעה.
שיניים מרובעות עלולות להראות גדולות יותר, יש להן מראה גברי שעשוי לגרום לאישה לחוש חוסר שביעות רצון
מצד שני, שיניים ארוכות לפנים רזות וארוכות יגרמו למראה עוד יותר ארוך
הרעיון הפשוט מאחורי שיפור מראה החיוך מסתמך על עקרון בו נמזער את התכונות הפחות מחמיאות ונדגיש את קווי הפנים החיוביים.
במקרה ספציפי זה התלונה הייתה חיוך "חינני אבל לא יפה". בוצעו ארבעה ציפויים עם סגירת המרווח בין השיניים ובמינימום נזק לשן. התקבלה תוצאה אסתטית ששיפרה אף את הסימטריה בפנים.
בשלב הבא נביט בשיניים בפני עצמן, צורתן גודלן והשוואתן זו לזו.
כאן, נשאף לראות את ציר הסימטריה בין שני צדי הלסת ונשאף למראה הרמוני.

גם אורך השיניים משפיע על האסתטיקה. אורך שיניים חותכות עליונות מרכזיות נע בין 10 ל-11 מ״מ. השיניים החותכות הצדדיות קצרות ב1 עד 2.5 מ״מ מהחותכות המרכזיות. פרופורציית שיניים היוצרת חיוך אופטימי וחיובי מציגה חותכות מרכזיות (צנטרליות) ארוכות, חותכות צדדיות (לטרליות) קצרות יותר וניבים בהמשך קשת השיניים תוחמות את קו החיוך. אצל גבר אני נוהג ליצור מראה ניבים דומיננטי וחד, אצל אישה אשאף לניבים קצרות ועגלגלות. בהחלט ניתן לומר שיש שיניים בעלות אופי גברי ושיניים המתאימות יותר לנשים, לעיתים העניין הוא הפוך ואני נתקל בגבר עם שיניים נשיות ואישה עם שיניים גבריות.במקרה כזה המטופל לא תמיד מבין מה הבעיה, הוא מביט במראה, לא אוהב את החיוך והסיבה לא ברורה לו. כאן נכנס תפקידו של רופא השיניים, להתייחס לכל הפרמטרים ולנסות לייצר את החיוך האידאלי לכל מקרה ומקרה (smile improvement)

ציר מעמד השיניים הוא נקודה נוספת בה נתבונן בעודנו שואפים במאמצנו לשיפור החיוך. נשאף ליצור קו אחיד בין השיניים המהווה ציר הרמוני ומקביל זה לזה.

חיוך חניכי (Gummy smile)
הוא חיוך בו נחשפות החניכיים יתר על המידה. במצב זה נראה קו חניכיים גבוה אשר בולט מאוד כשמחייכים . בזמן החיוך השפה מתרוממת מעל קו השיניים וחושפת את הרקמה הרכה מעל השיניים
באופן אידיאלי רק 1 עד 3 מ״מ חניכיים אמורות להראות מעל השיניים הקדמיות. יש אף אנשים רבים שאצלם כלל לא נחשפות החניכיים בזמן חיוך אלא השיניים בלבד.
במקרים של "חיוך חניכי" ניתן לבצע תיקון כירורגי (חיתוך קו החניכיים) אך השינוי יהיה קטן. במקרים בהם התיקון הכירורגי יחשוף חלק מהשורש יהיה צורך לצפות את השיניים, דבר אשר הופך את העניין למיותר ויקר.
במקרה שלפנינו בוצע תיקון "קוסמטי כירורגי" (הארכת כותרת) אשר שיפר את אסתטיקת החיוך לשביעות רצונה של המטופלת ללא כל צורך בציפוי כלשהו:
ממחקרים רבים שנעשו בנושא נמצאו קווים מנחים לעיצוב החיוך

חיוך מקביל לקו העיניים
חיוך אסתטי ונקי הוא חיוך המקביל לקו מאוזן המחבר בין זוויות העיניים
חיוך סימטרי
ציר הסימטריה הוא קו אורכי דמיוני העובר ממרכז המצח ועד מרכז הסנטר.
בכדי ליצור חיוך אסתטי, לקו הסימטריה יש חשיבות רבה וכשקיימת סטייה מקו הסימטריה ניתן בקלות ליצור אשליה סימטרית.
קיימות טכניקות רבות ואפשרויות מגוונות להגיע לתוצאת חיוך נעימה, מושלמת והרמונית. כל מקרה לגופו. אנו נבצע בדיקה יסודית ובהמשך נמליץ לכם על סוג הטיפול המתאים. עומדות בפנינו אפשרויות רבות:
לדוגמא, שינוי קווי המתאר של השן וצורתה, הבהרה לתיקון גוון השיניים, ציפויי חרסינה וחומרים מרוכבים, מילואות מחומר מרוכב ומחרסינה, ביצוע כתרים/גשרים, ועיצוב החניכיים.
Golden Ratio איך זה קשור לשיניים שלכם?
Golden Ratio או בעברית "יחס הזהב," הוא עקרון מתמטי עתיק שמופיע בטבע, באמנות, ואפילו בגוף האדם. מדובר ביחס של כ-1.618, הנחשב לאידיאלי ליצירת פרופורציות הרמוניות ומושכות.
אבל איך כל זה קשור לחיוך שלכם? ברפואת שיניים, Golden Ratio עוזר לנו לתכנן טיפולים אסתטיים שמעניקים לכם חיוך מושלם – גם יפה, גם טבעי וגם מותאם אישית.


איך Golden Ratio משפיע על האסתטיקה של החיוך?
- עיצוב החיוך
בעת תכנון החיוך, Golden Ratio מסייע ביצירת פרופורציות מדויקות בין השיניים:- החותכות המרכזיות (השיניים הקדמיות הגדולות) מתוכננות כך שיהיו בפרופורציה נכונה לחותכות הצדדיות (השיניים שלידן).
- גם הניבים מעוצבים כך שישתלבו בהרמוניה עם יתר השיניים, כדי ליצור חיוך מאוזן ונעים לעין.
- שיקום שיניים והשתלות
בכתרים, גשרים וציפויי חרסינה, אנו משתמשים ב-Golden Ratio כדי להבטיח שהשיניים המשוחזרות ייראו טבעיות וישתלבו בצורה מושלמת עם הפנים שלכם. - יישור שיניים (אורתודונטיה)
בטיפולי יישור שיניים, ה-Golden Ratio הוא כלי עזר להערכת פרופורציות השיניים והלסתות. כך ניתן להגיע לתוצאה אסתטית שמדגישה את היופי הטבעי שלכם.
למה Golden Ratio לא תמיד מתאים לכולם?
חשוב לזכור שה Golden Ratio הוא רק קו מנחה. לא תמיד הוא מתאים לכל מטופל, מהסיבות הבאות:
- מבנה אישי: כל אחד מאיתנו ייחודי, ולעיתים יש צורך לסטות מהיחס הזה כדי להגיע לתוצאה שנראית הכי טבעית.
- טעם אישי: מה שנחשב "מושלם" בעיני אחד, לא תמיד יתאים לאחר. אנחנו מתחשבים ברצונות ובחזון שלכם לחיוך המושלם.
- תרבויות שונות: יופי הוא עניין תרבותי, ואנו מתאימים את התוצאה לתפיסת האסתטיקה שלכם.


איך Golden Ratio משתלב בטיפול שלכם?
Golden Ratio הוא כמו כלי עזר עבורנו. הוא עוזר לנו לתכנן חיוך מאוזן ומרשים, אבל הדבר החשוב ביותר הוא אתם – המבנה הייחודי שלכם, ההעדפות שלכם, ומה שגורם לכם להרגיש בטוחים ומרוצים.
רוצים להתקרב לחיוך המושלם?
צרו איתנו קשר לייעוץ מותאם אישית, ונשמח לעזור לכם לחייך בביטחון!












