במרפאת דר' יהב, אנו משלבים מומחיות רפואית עם אמנות דנטלית כדי להעניק לך חיוך מושלם וביטחון עצמי מחודש
כרופא משקם, ד"ר יהב הוא ה"מנצח על התזמורת" – הרואה את התמונה הכוללת ומתכנן עבורך מסלול טיפולי מותאם אישית
שילוב של ידע מתקדם וניסיון רב, מבטיחים לך טיפול ברמה הגבוהה ביותר, עם דגש על בריאות ארוכת טווח.
אנו מתייחסים לכל מטופל כאל יצירת אמנות ייחודית, תוך התאמה מושלמת של השיניים למבנה הפנים והחיוך שלך.
שימוש בציוד החדשני ביותר, כולל סריקות והדמיות תלת-ממדיות, מאפשר לנו לספק לך את הטיפול המדויק ביותר.
אנו מלווים אותך צעד אחר צעד לקראת חיוך מושלם
בעידן המודרני של רפואת השיניים, אנו עדים למהפכה טכנולוגית בתחום השיקום נתמך שתלים. היום, בזכות הטכנולוגיה החדשנית שלנו, ניתן לבצע את כל התהליך – מההשתלה ועד לכתר המוגמר – תוך שעות ספורות ולסיים את הטיפול בפגישה אחת.
כאשר מדובר בשיקום נרחב, או מורכב, הכולל מספר שתלים, ניתן לסיים זאת בשתי פגישות.
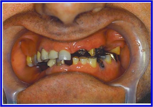
גשרים דנטליים מול שתלים
מה הפתרון המתאים עבורכם?
שיקום שיניים חסרות הוא לא רק עניין אסתטי, אלא גם בריאותי ותפקודי. גשרים ושיקום באמצעות שתלים דנטליים הם הפתרונות הנפוצים ביותר להשלמת שיניים חסרות, וכל אחד מהם מתאים למצבים שונים.
החיוך הטבעי שתמיד חלמתם עליו
גלו את הטכנולוגיה המתקדמת של כתרי Emax – הפתרון האסתטי המושלם שנותן לכם חיוך טבעי ויפה בדיוק כמו השן המקורית. ללא מתכת, ללא פשרות, רק תוצאה מדהימה.
בעבר, תהליך הכנת כתר או שיקום מורכב דרש מאיתנו להסתמך על מעבדה חיצונית – מה שגרר המתנה של שבועות, פגישות נוספות, ושימוש בפתרונות זמניים.
היום, בזכות טכנולוגיה דיגיטלית מתקדמת, התהליך כולו מתבצע אצלנו במרפאה – במהירות ובדיוק מירבי. המערכת משלבת תכנון ממוחשב (CAD) עם כרסום מדויק (CAM), ומאפשרת לנו לעצב את הכתר, הגשר או המילואה באופן אישי, מול המטופל ובזמן אמת. התוצאה? שיקום איכותי, מותאם אישית – כבר בביקור אחד.
פתרון זמני לחיוך מושלם
חיוך יפה הוא כרטיס הביקור שלנו, והוא משפיע על הביטחון העצמי ועל התדמית החברתית שלנו. במרפאת Amazing Smile אנו מבינים עד כמה חשוב לשמור על חיוך מלא ויפה, גם בתקופות ביניים של טיפולים דנטליים.
במקרים בהם השיניים הקיימות אינן חזקות מספיק, אך עדיין שווה לשמר אותן, התותבת הטלסקופית מציעה פתרון ייחודי המשלב את היתרונות של תותבת קבועה ונשלפת.
היתרון המשמעותי הוא היכולת לשמור על היגיינת פה מעולה תוך שמירה על נוחות ואסתטיקה, מה שמעניק לך שקט נפשי לשנים רבות.
אם חסרה לך שן ואינך מעוניין בהשתלה, גשר מרילנד הוא פתרון אידיאלי עבורך. בשיטה מתקדמת זו, שן מלאכותית מוחזקת בעזרת כנפיים קטנות המודבקות לשיניים הסמוכות.
כתר ריצ'מונד (Richmond crown) הוא שיקום דנטלי ותיק יחסית, שהוצג לראשונה כבר במאה ה-19. מדובר בכתר מיוחד המשלב בתוכו גם פוסט (יתד) המוחדר לתעלת השורש לאחר טיפול שורש, וגם כתר המשחזר את כותרת השן. למעשה, זהו פתרון "שניים באחד": גם שחזור של שן הרוסה מאוד, וגם חיזוק פנימי שמאפשר להחזיק את הכתר בצורה יציבה.
לא משנה מה מצב השיניים שלך כיום – יש לנו את הפתרון המתאים עבורך. צור איתנו קשר עוד היום והתחל את המסע לחיוך בריא, יפה ומלא ביטחון.
אנחנו כאן בשבילך
רופא שיניים מומחה לילדים ("פדודונט"), מהמובילים בארץ בתחומו, עם למעלה מ-25 שנות ניסיון בטיפול בפעוטות מגיל שנה, ילדים ונוער. ד"ר מגנאג'י מתמחה בטיפולים בילדים עם חרדות ופחדים וזאת באמצעות שימוש בגז צחוק, בסדציה (טשטוש) ובהרדמה מלאה.
ד"ר מגנאג'י מקפיד על טיפול מותאם אישית, וחוויה נינוחה לילדים ולמשפחותיהם.
השכלה והתמחות
ניסיון מקצועי
תחומי טיפול
גישה טיפולית וחזון
ד"ר מגנאג'י מאמין ביצירת חוויה טיפולית נעימה, רגועה ובטוחה עבור כל ילד ומשפחתו. הוא מתמקד בבניית קשר אישי עם מטופליו הצעירים, תוך יצירת סביבה נינוחה המאפשרת שיתוף פעולה והפחתת חרדה.