מילואות שרף מרוכב מחרסינה
(Inlays/Onlays)

מה הן המילואות?
שחזורי האינליי והאונליי הדנטלים הינם, למעשה, סתימות יצוקות כחתיכה אחת בצבע השן המודבקות על השן או לתוכה. זאת בניגוד לסתימות הלבנות המבוצעות עם חומר בעל מרקם גמיש המוחדר לשן ורק אז עובר עיבוד והקשיה.

למה משמשות המילואות?
שחזורי האינליי או האונליי מושמים באותם במקרים שבהם אין מספיק חומר שן לביצוע "סתימה" רגילה או השן לא ניזוקה בצורה כזו שהיא זקוקה לכתר מלא שיכסה את כולה (הם טובים לשחזורים בינוניים עד גדולים). שחזור האונליי מכסה חלק נרחב יותר של השן. בניגוד לאינליי המכסה חלק ממשטח הלעיסה של השן ,האונליי יכול לכסות כמעט את כל משטח הלעיסה. השימוש העיקרי בהם ,כאמור, הוא בשיניים אחוריות. השימוש במילואות הוא לשם קבלת אסתטיקה טובה ושמירה על תלוליות של שיניים חלשות בפני שבירה,כמו לאחר טיפול שורש.כל זאת בתנאי שלמטופל תהיה היגיינה אוראלית תקינה.

ממה הם עשויים?
שחזורי האינליי יכולים להיות עשויים מזהב,מחומר פלסטי (חומר מרוכב) או מחרסינה. החומר הפלסטי והחרסינה הם בצבע השן, ולפיכך הם אסתטיים יותר,אם כי גם זהב יכול להיחשב אסתטי בתרבויות מסוימות . השחזור העשוי זהב משמש לרוב מקרים שבהם יש צורך בחוזק מיוחד והפן האסתטי חשוב פחות.

מהו משך הטיפול?
שחזורי האינליי והאונליי מבוצעים בדרך-כלל במעבדה, ולכן לשם ביצועם יש צורך בשתי פגישות לפחות. בפגישה הראשונה מוסרת העששת ומבוצעת הכנה של השן. עם סיום ההכנה נלקח מטבע של החלל הנוצר בשן וכן של השיניים הסמוכות. בסיום הפגישה סותמים את השן באמצעות סתימה זמנית. המטבע נשלח למעבדה לביצוע השחזור הדרוש. בפגישה השנייה נבדקת ההתאמה של השחזור היצוק שנתקבל מהמעבדה, הסגר מותאם ולבסוף מודבק השחזור לשן. הטיפול נותן תוצאה אסתטית גבוהה ביותר, אך חסרונו הוא בעלותו הגבוהה יחסית לסתימה רגילה.
למרות כל הנאמר, היום אנו מבצעים את אותו הטיפול בטכנולוגיה דיגיטלית חדשה. כאשר הטיפול כולו מסתיים בפגישה אחת.
סיווגים – ציפוי שיניים בתל אביב, ציפוי חרסינה לשיניים בתל אביב, ציפוי למינייט לשיניים בתל אביב, ציפוי קומפוזיט לשיניים בתל אביב, חיוך הוליוודי.

קראו בהרחבה על שחזור שן שבורה

סתימות כסופות לעומת סתימות בגוון השן

בשנים האחרונות אנו עדים לפרסומים שונים בגנות ה"אמלגם" (סתימות אפורות) פרסומים אלו גורמים לבלבול ולחרדה בקרב מטופלים רבים.
ובכן לא הוכח בשום דרך שהאמלגם בצורתו הנוכחית מסרטן או גורם לכל נזק אחר. כיום מקובל יותר ויותר לבצע סתימות בגוון השן ופחות באמלגם מסיבות אסתטיות.

יתרה מזאת קיימים מטופלים המגיעים במטרה ובבקשה להחליף את כל הסתימות הכסופות שבפיהם לכאלו העשויים בגוון השן מטעמים של "בריאות" ואסתטיקה, לטענתם. על היתרונות והחסרונות של סתימות האמלגם לעומת הסתימות בגון השן וכן על המלצת האגף לבריאות השן במשרד הבריאות יסופר בהמשך.

מהו האמלגם הדנטלי?

מרביתכם מכירים את האמלגם הדנטלי כסתימות כסופות.האמלגם הדנטלי הוא תערובת של כספית, כסף בדיל ונחושת. תפקיד הכספית בתערובת היא לחבר בין המתכות על מנת לספק חומר סתימה חזק ויציב.

האם הכספית באמלגם הדנטלי מסוכנת?

הכספית באמלגם הדנטלי אינה מסוכנת! כאשר הכספית נקשרת לחומרים אחרים באמלגם הדנטלי אופיה הכימי משתנה, כך שהיא אינה מסוכנת כלל. כמות הכספית המשוחררת בפה בעת לעיסה או שחיקה של השן קטנה בהרבה מהכמות שאליה נחשפים במזון, באויר ובמים.לא קיימות הוכחות חד-משמעיות מבחינה מדעית לרעילותו של האמלגם, ולכן הוא הוכר כבלתי רעיל על ידי ה-ADA (האיגוד האמריקאי לרפואת שיניים) וכן על-ידי ההסתדרות לרפואת שיניים בארץ.
בבדיקה של 80 איש בארה"ב בעלי סתימות אמלגם, נמצא כי מבדיקת 40 מתוכם שהתלוננו על נזקי האמלגם, לא נמצא בדמם ריכוז גבוה יותר של כספית בהשוואה לאלה שלא התלוננו. נראה היה שהתלונה נובעת ממקור פסיכולוגי שכן בסקר נמצא שלרוב המתלוננים היתה בעיה בהתמודדות עם מצבי לחץ.

למה ממשיכים להשתמש בסתימות אמלגם?

האמלגם הדנטלי עמד במבחן הזמן, ולכן הוא חומר הבחירה ברפואת שיניים. עדות רשומה ליעילותו קיימת מעל 100 שנה באשר ליציבותו, לחוזקו, לבטיחותו ולעלותו הנמוכה. רופאי השיניים מעדיפים לשחזר שיניים בעזרת אמלגם שכן הוא קל ונוח לעבודה בהשוואה לחומרים האחרים הקיימים לשחזור. לעומתו חומרים אחרים, כדוגמת חרסינה וחומרים מרוכבים אחרים, הם יקרים יותר, ודורשים טכניקת עבודה רגישה ומורכבת יותר.

מהם חומרי הסתימה בגוון השן?

הסתימות ה"לבנות" בגוון השן עשויות מחומרים מרוכבים (חומרים פלסטיים), חומר זכוכיתי או מחרסינה. יתרונן הברור של הסתימות הלבנות הוא מן הבחינה האסתטית בעיקר.  יחד עם זאת הדורות החדשים יותר של החומרים המרוכבים מתקרבים לתכונות החוזק והעמידות לאורך זמן של האמלגם.
באמצעות טכניקה חדשה המצריכה ידע ומיומנות גבוהה של הרופא, ניתן להחליף את הסתימות הכסופות בלבנות ולקבל באמצעות חומרים מהדור החדש חוזק שלא היה קיים בעבר. בטכניקת הקישור החדשה הסתימה והשן הופכות למעין מקשה אחת וכך קטנים הסיכונים לשברים.
החומרים החדשים קיימים במגוון צבעים, וכיום ניתן כבר להשתמש בחומרים אלו בביטחון גם באזורים אחוריים. היתרון האסתטי הבולט הוא בכך שכאשר נחייך בפה פתוח, שיניים אחוריות יראו לבנות, והצל האפור והמכוער המשתקף לעיתים דרך קירות השן לא ייראה עוד.

האם כדאי להחליף סתימת אמלגם לסתימה בגוון השן מטעמים אסתטיים?

לדעתי, אין הצדקה להחליף את סתימות האמלגם בסתימות בגוון השן מסיבות אסתטיות בלבד, אלא אם כן יש פגם אסתטי בחיוך. דווקא בעת החלפת הסתימה משתחררות כמויות גדולות יותר ומסוכנות יותר ברעילותן בעת הסרת הסתימה.
על פי המלצות משרד הבריאות לא מומלץ לרוץ להחליף את כל הסתימות המתכתיות שבפה לסתימות מרוכבות אלא אם מדובר בצורך רפואי אמיתי, כגון: עששת או שבר בסתימה. עם זאת לא ניתן להתכחש לצרכים האסתטיים ול"טרנד" של חיוך לבן ויפה, ויש צורך לבדוק כל מקרה לגופו במקרה הצורך בהחלט ניתן לבצע סתימות בגוון השן גם בשיניים אחוריות.

INLAY (סתימה מחרסינה)

גלריית תמונות

השן לקראת הדבקת המילואה
המלואה מ Emax
המילואה מודבקת על השן
הפתרון המושלם לשחזור שן שבורה

שבר בשן טוחנת יכול להפריע לאכילה ולחיוך. אבל אל דאגה! במרפאתנו אנו מציעים פתרון קבוע ואסתטי – שחזור שן שבורה – מילואות INLAY / ONLAY)).

מילואות הן לא סתם סתימות – הן שחזורים דנטליים איכותיים העשויים מחומר קשיח בגוון השן, המודבק לשן או בתוך השן. מילואות מציעות אלטרנטיבה מתקדמת לסתימות המסורתיות: בעוד הסתימות הרגילות עשויות מחומר גמיש שעובר עיבוד בפה, המילואות מיוצרות בהתאמה מדויקת ומספקות תוצאה אסתטית ועמידות גבוהה לאורך זמן.

אצלנו במרפאה, אנו משתמשים בחומרים המתקדמים ביותר, כדי להבטיח תוצאה טבעית, עמידה ומרשימה. חומרים אלו ידועים בחוזקם, עמידותם בפני כתמים והמראה הטבעי שלהם, וכוללים את כל היתרונות הדרושים לשחזור שיניים בצורה אסתטית. הטיפול כולל סריקה וחריטה אצלנו במרפאה בפגישה אחת בת כשעה. 

ONLAY (שחזור המחליף גם חלק מהכותרת)

גלריית תמונות

הרס כותרתי נרחב ובאמצעות המילואה מנענו טיפול שורש וכתר.
המילואות מחומר Emax לקראת הדבקה.
המילואות מודבקות בפה.

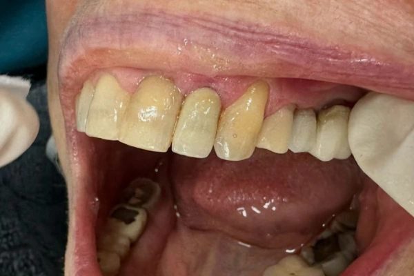
מקרה נוסף

מטופל הגיע עם שן שבורה אך היא ויטלית.
הוחלט להמנע מטיפול שורש וכתר ולבצע מילואה Onlay.

שיטה זו חסכה למטופל גם טיפול וגם כסף והכל תוך שעה אחת בלבד

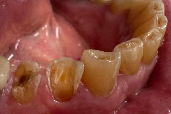
מטופל הגיע עם שן שבורה אך היא ויטלית
המילואה לקראת הדבקה
המילואה בתהליך ההדבקה
המילואה הודבקה